Функция добавления в закладки доступна только авторизованным
пользователям. Зарегистрируйтесь или войдите в свой
аккаунт.
Функция отправки личных сообщений доступна только авторизованным
пользователям. Зарегистрируйтесь или войдите в свой
аккаунт.
Функция оценок доступна только для авторизованных
пользователей. Зарегистрируйтесь или войдите в свой
аккаунт.
Функция добавления в контакты доступна только авторизованным пользователям. Зарегистрируйтесь или войдите в свой аккаунт.
Ущерб от инсульта обратили с помощью стволовых клеток
Корональный разрез мозга мыши после инсульта и трансплантации стволовых клеток / © University of Zurich
Ученые смогли обратить вспять повреждения от инсульта у мышей с помощью терапии стволовыми клетками. Это приближает исследователей к открытию методов лечения людей, восстанавливающихся после инсульта.
Четверть взрослых людей сталкивается за свою жизнь с инсультом. Половина из них получает остаточные повреждения, такие как паралич или нарушение речи. Это происходит из-за того, что внутреннее кровотечение или недостаток кислорода необратимо убивают клетки мозга. Сейчас нет методов лечения таких повреждений.
Международная группа ученых из Швейцарии и США хотела доказать, что нейральные стволовые клетки обладают потенциалом для регенерации ткани мозга. Результаты их исследования опубликованы в Nature Communications.
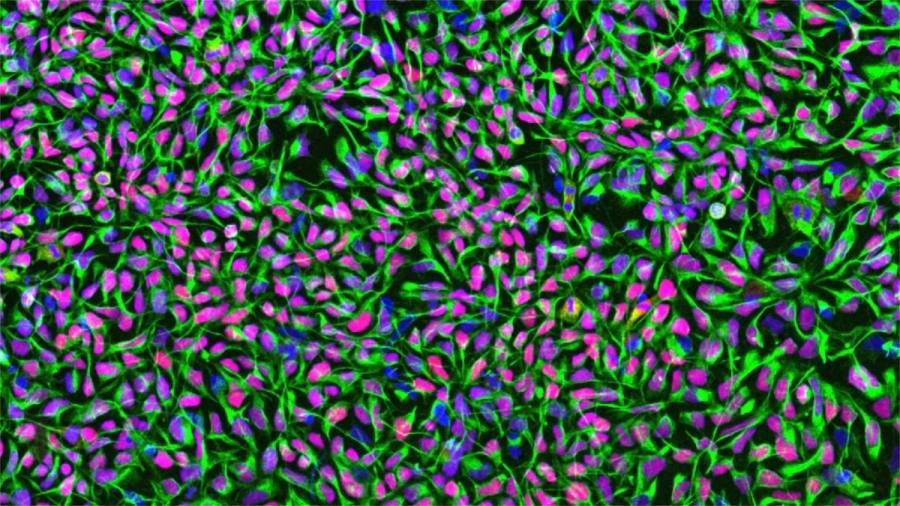
В исследованиях использовались нейральные стволовые клетки человека, из которых могут образовываться различные типы клеток нервной системы. Стволовые клетки получили из индуцированных плюрипотентных стволовых клеток, которые могут быть созданы из нормальных соматических клеток человека.
Культуры человеческих нейральных стволовых клеток. Ядра клеток окрашены в синий цвет, специфический для нейральных стволовых клеток филаментный белок Nestin — в зеленый, транскрипционный фактор нейральных стволовых клеток Sox1 — в красный / © University of Zurich
Исследователи вызвали у мышей перманентный инсульт, характеристики которого близки проявлению инсульта у человека. Животных генетически модифицировали, чтобы они не отторгали стволовые клетки человека.
Через неделю ученые трансплантировали стволовые клетки в поврежденную область мозга. Они следили за результатами, используя различные визуализирующие и биохимические методы. Исследователи обнаружили, что стволовые клетки выживали в течение всего периода наблюдения — пяти недель. Большинство из них превратились в нейроны, взаимодействующие с уже существующими клетками мозга.
Исследователи обнаружили и другие признаки регенерации: образовывались новые кровеносные сосуды, уменьшались воспалительные процессы и улучшалась целостность гематоэнцефалического барьера. Трансплантация стволовых клеток у мышей также обратила двигательные нарушения, вызванные инсультом.
В перспективе исследователи рассматривают вариант терапевтического применения стволовых клеток на людях. Ученым предстоит минимизировать риски и упростить потенциальное применение метода.
Источник: https://naked-science.ru/community/1118985
инсульт медицина мозг нейронауки стволовые_клетки